La ecografía del tendón de Aquiles puede ser una herramienta muy potente si se sabe usar correctamente. En este artículo aprenderás cómo sacarle el máximo partido a este abordaje.
El tendón de Aquiles es una de las estructuras más frecuentemente implicadas en dolor de tobillo y limitaciones funcionales, tanto en deportistas como en la población general. Su localización superficial lo convierte en un objetivo accesible para la exploración ecográfica, pero interpretar correctamente sus hallazgos requiere conocer en profundidad su anatomía y posibles patrones lesionales.
En muchos casos, el examen físico no es suficiente para diferenciar entre una tendinopatía reactiva, una entesopatía insercional o una rotura parcial, especialmente si el paciente presenta dolor persistente sin una causa traumática clara.
La clínica puede incluir tumefacción palpable o rigidez matutina, pero la presentación suele ser inespecífica y distintos tipos de lesión pueden coexistir en un mismo caso.
En este artículo revisaremos cómo realizar una correcta exploración ecográfica del tendón de Aquiles y qué hallazgos pueden orientarnos en el diagnóstico diferencial. Veremos cómo interpretar las imágenes más frecuentes, así como los patrones clínicos asociados a cada hallazgo, con especial atención a la integración funcional en fisioterapia.
Ecografía del tendón de Aquiles: protocolo de exploración
Para explorar el tobillo con ecografía, lo habitual es utilizar sondas lineales de alta frecuencia (entre 10 y 18 MHz), ya que permiten una excelente resolución de estructuras superficiales como tendones, ligamentos o nervios.
En caso de necesitar una mayor penetración (por ejemplo, para valorar articulaciones profundas o zonas con mucho tejido subcutáneo) puede ser útil emplear frecuencias más bajas (en torno a 5-12 MHz), aunque esto compromete ligeramente la nitidez de la imagen. Como siempre, habrá que adaptar la frecuencia al objetivo clínico y a las características del paciente.
Para valorar ecográficamente el tendón de Aquiles, la exploración se comienza con un corte transversal. El paciente se colocará en decúbito prono.

El dibujo anatómico de las estructuras que encontraremos bajo la sonda ecográfica es el siguiente:

Al realizar una exploración ecográfica del tendón de Aquiles, usaremos siempre como referencia anatómica la cortical del calcáneo. A partir de ella, podremos reconocer el resto de estructuras. Veamos una imagen ecográfica real:


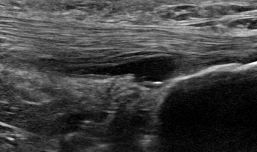
En una interfase superficial podemos diferenciar el tendón de Aquiles, cuyo grosor puede variar en función del índice de masa corporal, edad y nivel de actividad física de la persona.
La grasa de Kager presenta una forma de triángulo isósceles tumbado, siendo la parte más proximal hipoecoica y situándose entre el flexor largo del primer dedo y el tendón de Aquiles.
Con respecto al flexor largo del primer dedo, la mejor forma de distinguirlo es realizar una exploración dinámica. La mano del explorador que no maneja la sonda, realizará movilizaciones del primer dedo para ver cómo se comporta el vientre muscular.
Con respecto a las bursas, tendremos la bursa retrocalcánea que se localiza entre el tendón de Aquiles y el calcáneo. Podremos distinguir una pequeña zona hipoecoica de 3mm con forma de “coma”. Su esquema anatómico es el siguiente:

Por otro lado, la bursa retroaquílea se encuentra de forma superficial al tendón de Aquiles y en condiciones normales no será distinguible a la ecografía.
Si nos vamos a un corte longitudinal, podremos seguir el trayecto del tendón desde su origen en la unión miotendinosa del tríceps sural hasta su inserción en la tuberosidad posterosuperior del calcáneo. En condiciones normales, el tendón mostrará un patrón fibrilar lineal y bien organizado, con un grosor uniforme a lo largo de su eje.
La exploración longitudinal resulta especialmente útil para valorar la continuidad del tendón, la organización de las fibras colágenas, la presencia de roturas parciales o completas y para identificar calcificaciones o zonas de degeneración focal.
En este corte, habrá que tener cuidado en la zona de la inserción del tendón sobre el calcáneo. Es habitual ver una imagen hipoecoica por el ángulo de las fibras. Para no confundirlo con una lesión, se recomienda mover ligeramente la sonda o valorar el tendón realizando el paciente una flexión plantar.
Ecografía patológica del tendón de Aquiles: roturas y tendinopatías
¿Cuáles son las distintas afectaciones a explorar en el tendón de Aquiles?
La patología del tendón de Aquiles puede ser variada, incluyendo:
- Paratenonitis: inflamación del paratenón que puede presentar líquido anecoico entre éste y el tendón en fases agudas. En fases crónicas, se observan engrosamiento del paratenón y cambios inflamatorios en la grasa de Kager.
- Tendinopatía: engrosamiento hipoecoico del tendón con pérdida del patrón fibrilar y aumento de la vascularización, especialmente en el tercio medio. Puede ser difusa o focal y asociarse a dolor crónico por neoinervación.
- Entesopatía: afecta la inserción en el calcáneo. Es frecuente en la entesopatía del tendón de Aquiles observar una hipertrofia del tubérculo posterosuperior, engrosamiento del tendón con desestructuración fibrilar y neovascularización de la bursa retroaquílea. También son típicas las calcificaciones insercionales y signos óseos como espolones o entesofitos de tracción.
- Roturas tendinosas: las parciales aparecen como defectos hipoecoicos que no comprometen todo el espesor del tendón. Las completas muestran discontinuidad total, hematoma y separación de cabos, con o sin retracción.
Veamos a continuación algunas imágenes patológicas que encontramos a menudo en la práctica clínica:
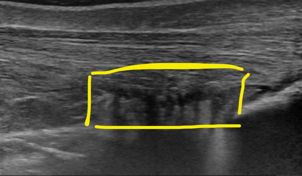
Rotura parcial del tendón de Aquiles: interfase profunda

En esta imagen se puede ver una zona anecoica en la interfase profunda del tendón. Se puede observar una pérdida de continuidad del patrón fibrilar de las fibras tendinosas.
Por la localización de la zona anecoica, podría confundirse con una bursitis. No obstante, en una bursitis las fibras tendinosas posteriores mantendrían su continuidad (a diferencia de la imagen anterior).
Alteración de la grasa de Kager


En esta imagen, podemos observar que el patrón fibrilar del tendón mantiene su continuidad, mantiene bien definida su delimitación a nivel profundo. Justo bajo esa delimitación, observaremos una zona anecoica en la grasa de Kager, la cual indica una desestructuración de la misma.
Tendinopatía del tendón de Aquiles

En esta imagen muestra un tendón de Aquiles engrosado. Mientras que la parte de la izquierda (proximal) mantiene un tamaño normal, la parte de la derecha (distal) el tendón se abomba.
Ese engrosamiento difuso es un signo típico de las tendinopatías, que en este caso el paciente sufría desde hacía 1 año. Igualmente, la imagen muestra neovascularización asociada a la tendinopatía del tendón de Aquiles.
Valoración dinámica en la ecografía del tendón de Aquiles
Aunque la exploración estática del tendón de Aquiles puede ofrecer información estructural relevante, si solo nos quedamos en ella, nos estaremos perdiendo la información sobre el comportamiento funcional del tendón. Es por ello que integrar una valoración dinámica en el protocolo ecográfico será clave para completar el diagnóstico. Sobre todo en pacientes intervenidos quirúrgicamente o en fases avanzadas de recuperación.
La valoración dinámica del tendón nos permitirá ver si la fuerza generada por el tríceps sural se transmite adecuadamente a lo largo del tendón durante la flexión plantar activa. En condiciones normales, esta contracción provoca tensión visible sobre el tendón, que se traduce en un patrón fibrilar estirado y bien alineado en la imagen ecográfica. En cambio, si el tendón aparece ondulado o no se genera tensión, puede indicar una disfunción (elongación cicatricial, falta de activación muscular o incluso una rotura no diagnosticada).
¿Cómo realizarla?
El protocolo para realizar esta exploración dinámica consiste en colocar al paciente en decúbito prono con los pies fuera de la camilla. Desde esta posición, colocamos la sonda en eje longitudinal, justo por encima de la inserción calcánea, buscando una buena visualización de las fibras tendinosas.

Primero se observa el tendón en reposo, valorando si presenta una estructura lineal en tensión o si se encuentra ondulado o desestructurado. A continuación, se solicita al paciente una flexión plantar activa contra resistencia, aplicando esta resistencia con la mano del explorador sobre la parte anterior del pie.
Durante la contracción, un tendón funcional debe mostrar un aumento de la tensión y alineación de las fibras. En caso contrario, si las fibras siguen onduladas o no se tensan, indicaría una disfunción del complejo músculo-tendón del tríceps sural.
A continuación, puedes observar una imagen ecográfica de un paciente operado hace 3 meses por una ruptura del tendón de Aquiles. En la izquierda el tendón estaría en reposo y en la derecha estaría haciendo una flexión plantar contraresistencia.

Como se observa, las fibras del tendón son lineales al aplicar resistencia, sin ondulación alguna, lo que indica una buena función del tendón.
Por otro lado, podemos ver esta imagen de otro paciente también operado hace 3 meses por una rotura del tendón. Al igual que antes, a la izquierda el tendón se encuentra en reposo y a la derecha durante una flexión plantar activa contra resistencia.

A diferencia de lo esperado en un tendón funcional, durante la contracción las fibras aparecen onduladas y sin tensión, al igual que las suturas quirúrgicas visibles en la imagen. Esto indica que el movimiento no se realiza gracias al tríceps sural, sino probablemente por la acción compensatoria de otros flexores plantares. El tendón, en este caso, se comporta como una estructura elongada y funcionalmente ineficaz.
La valoración dinámica del tendón de Aquiles aporta información funcional que complementa de forma muy útil a la exploración en reposo. A diferencia del test de elevación del talón tradicional, esta prueba puede aplicarse incluso en fases precoces del postoperatorio.
Permite observar directamente si el tendón transmite correctamente la fuerza generada por el tríceps sural, ya que hay casos en los que el tendón muestra una apariencia estructural aceptable en reposo, pero sufre una disfunción mecánica cuando se le exige trabajo activo.
Además, nos permitirá realizar una detección precoz de elongaciones posquirúrgicas, una de las complicaciones más relevantes tras una reparación tendinosa.
¿Te está siendo útil? esto es un 0,1% de lo que puedes aprender con nuestro máster
✅ Dominarás la ecografía en tan solo 3 meses, con clases ya grabadas para que aprendas a tu ritmo.
✅ Actualizado en 2026, con un extra en anatomía para que sepas exactamente qué estructuras hay bajo la sonda y te orientes fácilmente en la exploración.
✅ Único máster con acceso ilimitado y soporte de dudas y casos clínicos permanente.
Solicita información a través de este formulario
Conclusiones
La ecografía del tendón de Aquiles, tanto en su modalidad estática como dinámica, permite una valoración precisa de la integridad estructural y funcional del tendón. Integrar esta herramienta en la práctica clínica del fisioterapeuta no solo mejora el diagnóstico, sino que también permite ajustar los protocolos de tratamiento en función de hallazgos específicos.
Bibliografía
- Master en ecografía, EASY TOP ECOGRAFÍA
- Ciszkowska-Łysoń, B., Zdanowicz, U., & Śmigielski, R. (2021). The ultrasonographic dynamic heel-rise test of the Achilles tendon. Journal of Ultrasonography, 21(86), e260–e266.
Comentarios recientes