En este artículo aprenderás las claves para diagnosticar a través de la ecografía los problemas de codo que más llegan a clínica: tendinopatía y rotura tendinosa.
Ya existe un artículo que profundiza en cómo se ve el tendón conjunto epicondíleo en ecografía en condiciones no patológicas. Si no tienes claro cómo se ve una imagen sana de esta región, ve a consultarlo antes de seguir con este.
Recordatorio breve de cómo se ve el tendón extensor sano
El tendón extensor común sano muestra un patrón fibrilar hiperecoico bien organizado, con fibras paralelas y continuas. En la inserción sobre el epicóndilo, el tendón tiene un grosor que oscila aproximadamente entre 3 y 5 mm, aunque hay variabilidad individual.
Justo en la zona de inserción, es habitual ver una pequeña zona levemente hipoecoica en la cara profunda del tendón, donde el extensor radial corto del carpo se relaciona con la articulación. Esto es normal y se relaciona con la estructura fibrocartilaginosa de esa zona. No lo confundas con patología: si el patrón fibrilar se conserva y no hay otros signos, estás ante un tendón sano.

Como siempre, explora el lado asintomático primero. La comparativa bilateral es especialmente útil en el codo porque la variabilidad normal entre personas es alta.
Ecografía y epicondilitis: cómo se ve una tendinopatía lateral de codo
El término “epicondilitis” sigue usándose, aunque la evidencia actual apunta a que no existe un proceso inflamatorio primario, sino una tendinosis: degeneración del colágeno con respuesta vascular angiofibroblástica sin un infiltrado inflamatorio clásico. Esto tiene implicaciones tanto para el tratamiento como para la interpretación ecográfica.
En ecografía, los hallazgos típicos de la tendinopatía del extensor común son:
- Engrosamiento focal del tendón en la zona de inserción, generalmente en los primeros 1-2 cm desde el epicóndilo. El tendón pierde su forma aplanada y se vuelve más abombado.
- Hipoecogenicidad focal o difusa en la zona afectada. El patrón fibrilar se desorganiza y la zona aparece más oscura que el resto del tendón sano. Este hallazgo refleja la degeneración del colágeno.
- Irregularidad de la cortical del epicóndilo, especialmente erosiones focales o pequeñas calcificaciones en el punto de inserción. Son más frecuentes en cuadros crónicos.
- Calcificaciones intratendinosas. Aparecen como focos hiperecoicos, con o sin sombra acústica posterior según su consistencia. No siempre son sintomáticos.
Es importante recordar que la extensión de los hallazgos ecográficos no se correlaciona de forma fiable con la intensidad del dolor ni con la discapacidad funcional. Hay pacientes con cambios estructurales importantes pero casi asintomáticos y viceversa.
Cómo se ven los cambios patológicos en una tendinopatía lateral a la ecografía

ECRL: extensor radial largo del carpo. ECRB: extensor radial corto del carpo. EDC/m: extensor común de los dedos. ECU: extensor cubital del carpo. CET: tendón extensor común. RCL: ligamento colateral radial. LE: epicóndilo lateral. RH: cabeza radial.
En las imágenes B y C se observan cambios patológicos en la porción profunda del tendón extensor común, especialmente en la zona correspondiente al extensor radial corto del carpo (ECRB). El tendón aparece más grueso, pierde parte de su patrón fibrilar normal y presenta pequeñas zonas de disrupción de las fibras.

En la imagen A, en eje longitudinal, se observa una tendinopatía crónica del tendón extensor común. El tendón aparece engrosado y se identifican calcificaciones intratendinosas, visibles como pequeños focos hiperecoicos señalados por la flecha azul.
En la imagen B, en eje transversal, se vuelven a observar esas calcificaciones dentro de la masa extensora, señaladas por la flecha azul. Se ven como focos o trazos hiperecoicos, es decir, más brillantes que el tejido tendinoso que las rodea.

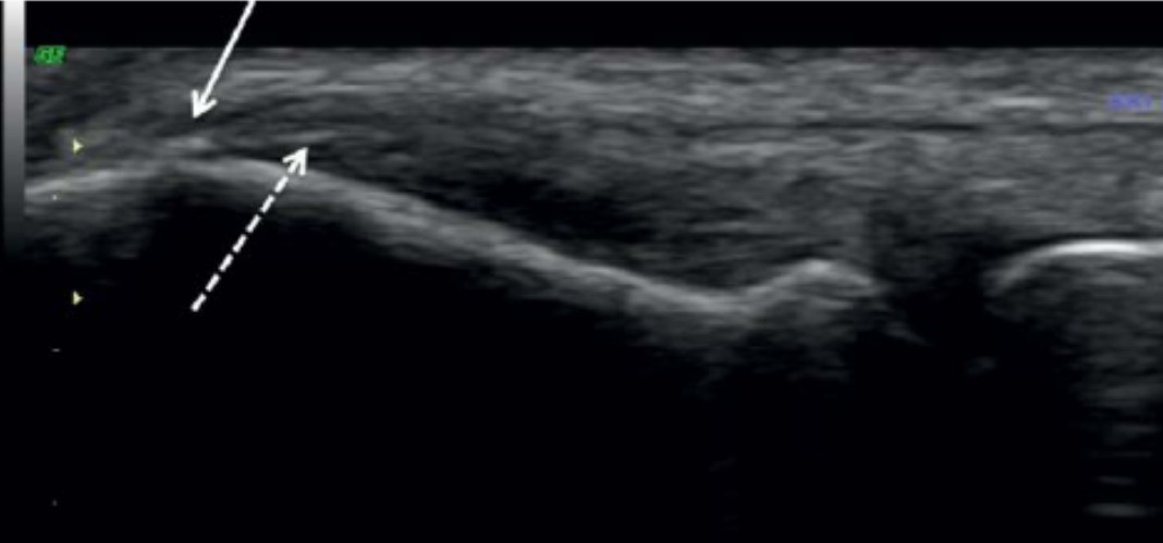
En la imagen ecográfica se observan cambios degenerativos iniciales en la inserción del tendón extensor común.
La flecha continua (la más alta) señala una irregularidad en la zona de unión entre el ligamento, el tendón y el hueso. Esta irregularidad se relaciona con pequeños cambios cálcicos en la entesis, todavía sin formar un entesofito claro.
La flecha discontinua (la más baja) marca una pequeña cicatriz o zona de alteración en la parte profunda de la inserción. Es un cambio sutil que muestra una degeneración iniciándose en la zona profunda del tendón.
Ecografía en rotura parcial del tendón lateral del codo
La rotura parcial en el epicóndilo puede producirse como una transición gradual desde la degeneración o como producto de un traumatismo.
La ecografía tendinosa pondrá en evidencia una pérdida de continuidad del tejido. Los hallazgos que orientan hacia una rotura parcial son:
- Defecto hipoecoico focal con pérdida de la arquitectura fibrilar en un punto concreto. A diferencia de la hipoecogenicidad difusa de la tendinopatía, aquí el defecto tiene márgenes más definidos y morfología reproducible en los dos planos de exploración.
- Adelgazamiento focal del tendón. En comparación con el lado sano o con las zonas proximales del mismo tendón, el grosor disminuye de forma localizada en el punto de la rotura.
- Líquido intratendinoso o peritendinoso. En roturas agudas o subagudas puede acumularse líquido en el defecto o en el espacio entre el tendón y la articulación radiocapitelar.
La clave para distinguir una zona de tendinopatía de una rotura parcial real sigue siendo la misma que en cualquier otro tendón: el defecto debe reproducirse en eje largo y en eje corto. Si desaparece al rotar la sonda, revisa el ángulo antes de etiquetarlo como rotura.
Cómo se ve una rotura parcial del tendón extensor común en ecografía

En las imágenes A y B se observa una rotura de la porción profunda del tendón extensor común a nivel del epicóndilo lateral.
La zona marcada con los calipers (cruces y rayas amarillas) corresponde al defecto de la rotura: un área uniformemente oscura donde se ha perdido la continuidad de las fibras tendinosas.
Las flechas continuas señalan zonas sin reflexión fibrilar, es decir, áreas donde ya no se identifica el patrón normal del colágeno. También se aprecia un adelgazamiento localizado del tendón, un dato útil para diferenciar una rotura parcial de una tendinopatía simple.
¿Qué valor clínico tiene el Doppler en la ecografía del tendón lateral del codo?
La señal Doppler en el tendón extensor común tiene un comportamiento similar al de otras tendinopatías: en fases activas puede haber hiperemia peritendinosa o intratendinosa, especialmente en los márgenes del área degenerada.
Sin embargo, su valor diagnóstico aislado es limitado:
- Un Doppler positivo confirma que hay actividad biológica en la zona, pero no diferencia entre tendinopatía activa y rotura parcial con respuesta vascular.
- Un Doppler negativo no descarta patología en cuadros crónicos donde la respuesta inflamatoria ya se ha atenuado.
Donde puede aportar información adicional es en el seguimiento: la reducción progresiva de la señal Doppler a lo largo del tratamiento es un indicador de que el proceso está calmando. Y, como siempre, ganancia al mínimo y sin comprimir con la sonda para evitar colapsar los vasos superficiales.
Diagnóstico diferencial en el dolor lateral de codo
Ante un dolor en el codo lateral, la epicondilitis es la sospecha más frecuente, pero no la única. Antes de concluir, conviene descartar:
- Patología de la articulación radiocapitelar. Una sinovitis o un derrame articular pueden generar dolor lateral similar. La ecografía puede mostrar líquido articular entre el cóndilo humeral y la cabeza del radio.
- Neuropatía del nervio radial o de su rama profunda (nervio interóseo posterior) a su paso por el músculo supinador. Puede generar dolor lateral del codo con irradiación anterior que se confunde con epicondilitis. La provocación con supinación resistida y la localización del dolor más anterior y distal al epicóndilo son pistas clínicas.
- Rotura del ligamento colateral lateral. En pacientes con antecedente traumático o en deportistas overhead, una rotura o insuficiencia del complejo ligamentario lateral puede coexistir con patología del extensor común.
¿Te está siendo útil? aprendre todavía más con nuestra Guía gratuita de Ecografía

Conclusiones
La ecografía del codo lateral permite identificar con bastante precisión si estás ante una tendinopatía del extensor común, una rotura parcial o una combinación de ambas. Los hallazgos clave son el engrosamiento, la hipoecogenicidad y los defectos focales, siempre confirmados en dos planos y comparando con el lado sano.
Lo que la imagen no puede hacer por sí sola es decidir el tratamiento. Los cambios ecográficos no se traducen directamente en severidad clínica ni sirven para establecer un pronóstico. La ecografía orienta, pero el razonamiento clínico y la clínica del paciente siguen siendo el eje de las decisiones.
Bibliografía
Manske, R. C., Wolfe, C., Page, P., & Voight, M. (2025). Diagnostic musculoskeletal ultrasound for the evaluation of the lateral elbow: Implications for rehabilitation providers. International Journal of Sports Physical Therapy, 20(1), 137–143. https://doi.org/10.26603/001c.127528
Ahn, T., Lee, D., Moon, J., Kim, J., So, Y., Cho, H.-G., Ji, S., Lee, S., Oh, M., & Kim, C.-H. (2025). Ultrasound-guided pharmacopuncture for lateral epicondylitis initially misdiagnosed due to incomplete common extensor tendon evaluation: A case report. Journal of Pharmacopuncture, 28(3), 248–254. https://doi.org/10.3831/KPI.2025.28.3.248
Obuchowicz, R., & Bonczar, M. (2016). Ultrasonographic differentiation of lateral elbow pain. Ultrasound International Open, 2(2), E38–E46. https://doi.org/10.1055/s-0035-1569455
Comentarios recientes