El músculo recto anterior se encuentra en la parte frontal del muslo y desciende desde la pelvis hasta la tibia.
Es uno de los cuatro músculos que componen el cuádriceps femoral, grupo de músculos que se encuentran en la parte anterior del muslo y son responsables de extender la pierna en la articulación de la rodilla.
El recto anterior, junto con el bíceps femoral, es uno de los músculos del miembro inferior que se rompe con más frecuencia. Deportes como el fútbol, rugby o tenis pueden predisponer a este tipo de roturas.
Son los cambios de dirección y las contracciones excéntricas bruscas lasque comprometen a la unión miotendinosa.
Las roturas por contusión (directas) son menos frecuentes que las roturas por distensión (indirectas), estas últimas varían en grados y localizaciones.
Te enseñamos cómo debe ser la exploración ecográfica en la normalidad del recto anterior y qué imágenes puedes encontrarte en una persona con el recto anterior roto.
ECOGRAFÍA DE UN RECTO ANTERIOR SANO
Vamos a tener en cuenta el siguiente corte de referencia.

El corte transversal es elprimer corte que debes hacer, te va a permitir ubicarte en el espacio e identificar con mayor rapidez al recto anterior. Su arquitectura es un tanto atípica.

El recto anterior tiene un septo central en forma de S (azul). Las roturas musculares del recto anterior, son frecuentes próximas al septo (aunque tambión podemos encontrarnos roturas miofasciales que tambien te enseñaremos).
El contorno de la sección transversal del recto anterior queda delimitada por el contorno (verde).

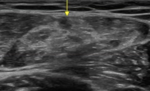
ECOGRAFÍA DE UNA ROTURA DEL RECTO ANTERIOR


Por aquí vemos una fibrosis del recto anterior, una antigua rotura, no tratada que acabó fibrosando el septo.
Ya no existe septo definido y en su lugar encontramos una masa dura y poco flexible que compromete al recto anterior.

Evitar los procesos cicatriciales aberrantes, es una labor del fisioterapeuta.
Con tu ecógrafo podrás monitorizar la evolución de la lesión y valorar las características de la cicatriz. A través de la elastografía, incluso, podrías saber cómo de rígida es la misma. Y en base a esto, hacer un manejo más conservador o invasivo.


Las roturas miofasciales son más fáciles de resolver, por lo general, tienen un mayor sangrado, pero el proceso de cicatrización es menos agresivo.
Recuerda que si detectas una sufusión hemática de gran tamaño, debes derivar al paciente para que se la extraigan.
No hacerlo retrasará el proceso de recuperación y puede predisponer al desarrollo de efectos secundarios como es la miosotis osificante.

VÍDEO DE ECOGRAFÍA EN ROTURA DEL RECTO ANTERIOR
En el video de te hablamos también de la desinserciones totales del recto anterior.
Te enseñamos el barrido del recto anterior hasta su inserción distal, donde acaba formando el tendón del cuádriceps.
Haz clic aquí o en la imagen para acceder al Canal de Youtube
na persona con artrosis de rodilla, los cambios que nos vamos a encontrar son los siguientes:
- Osteofitos
- Irregularidades en la cortical de los cóndilos
- Calcificaciones de pequeño y gran tamaño
- Pérdida del cartílago articular
- Sinovitis
En este paciente con artrosis de rodilla, lo que vemos en la ecografía es una pérdida total del cartílago articular en la zona marcada en azul.
Si te fijas, el cartílago articular (que debería verse totalmente anecoico) ha desaparecido. Ha sido engullido por un osteofito asociado a la cortical.
El resto del cartílago articular también presenta cambios, perdida del grosor y de la ecogenicidad.
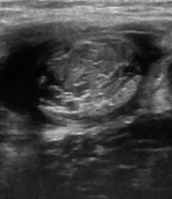
En este otro ejemplo, donde observamos la cortical de la rótula (rojo) y el tendón cuadricipital (verde)
La cortical de la rótula presenta irregularidades además de una sinovitis (puntos amarillos) asociada de la bursa suprarotuliana.
Este último paciente con artrosis de rodilla también presenta cambios en la imagen ecográfica, que se salen de la normalidad.
Las irregularidades en la cortical (marcadas con flechas) son algunos de los signos clave de la artrosis.
Este tipo de imágenes no las encontrarás en pacientes jóvenes, pero en pacientes de edad media/avanzada, es fácil que las veas.
La artrosis, no tiene porqué provocar dolor, en casos avanzados y cuando se ha perdido más del 40% del cartílago articular, el tratamiento suele ser quirúrgico a través del implante de una prótesis.
Las prótesis de rodilla son una solución eficiente, rápida y que devuelve la calidad de vida a las personas mayores que sufren un desgaste agresivo.
El tratamiento conservador siempre es la primera opción, pero si este fracasa, el tratamiento quirúrgico puede ser una de las soluciones al problema.
¿Te está siendo útil? esto es un 0,1% de lo que puedes aprender con nuestro máster
✅ Dominarás la ecografía en tan solo 3 meses, con clases ya grabadas para que aprendas a tu ritmo.
✅ Actualizado en 2026, con un extra en anatomía para que sepas exactamente qué estructuras hay bajo la sonda y te orientes fácilmente en la exploración.
✅ Único máster con acceso ilimitado y soporte de dudas y casos clínicos permanente.
Solicita información a través de este formulario

Comentarios recientes