Sin un esquema claro de la anatomía de la muñeca, realizar una exploración ecográfica adecuada puede ser muy complicado.
Tras el metaanálisis Asghar et al. publicado en 2023, la ecografía ha ganado popularidad en el diagnóstico del síndrome del túnel carpiano, en este artículo veremos por qué.
Igualmente, haremos un recuerdo de las referencias anatómicas relacionadas con el túnel carpiano, además de ver cómo se debería realizar una exploración ecográfica de la muñeca que nos permita valorar el nervio mediano y los tendones que lo rodean.
Anatomía del túnel del carpo
Como en cualquier exploración ecográfica, tener clara la anatomía será fundamental para saber qué estamos viendo bajo la sonda.

Esta imagen de un corte transversal de la muñeca, nos da un esquema muy claro sobre las estructuras que encontraremos.
De forma superficial al ligamento transverso del carpo, encontraremos el flexor cubital del carpo, el palmar largo (estos dos sin vaina sinovial) y el flexor radial del carpo. El palmar largo es un músculo inconstante, por lo que no siempre estará presente.
Si nos vamos a una capa más profunda, en lo que conocemos como el túnel del carpo, encontraremos una primera hilera de tendones que corresponden al músculo flexor superficial de los dedos.
La tercera capa en profundidad incluirá los cuatro tendones del flexor profundo de los dedos y el flexor largo del pulgar.
No hay que perder de vista que el nervio mediano se encuentra inmediatamente superior a los tendones de la musculatura flexora.
El túnel del carpo es un canal osteofibroso delimitado por:
- Techo: ligamento transverso del carpo.
- Suelo: huesos del carpo.
- Pared radial: escafoides y trapecio.
- Pared cubital: pisiforme y ganchoso.
Ecografía del túnel del carpiano
El túnel carpiano es uno de los puntos de atrapamiento del nervio mediano más típicos, por lo que su exploración puede darnos información importante sobre el entorno del nervio en su paso por este espacio anatómico.
La ecografía de la muñeca no solo nos va a dar información sobre cómo están las estructuras vecinas al nervio mediano, haciendo así un diagnóstico diferencial. Recientes publicaciones hablan de que existe una relación directa entre la sección transversal del nervio mediano y el diagnóstico del síndrome del túnel carpiano. Esto lo veremos en la siguiente sección del artículo.
Volviendo a la anatomía, antes decíamos que los tendones del flexor cubital del carpo y el palmar largo no están envueltos en una vaina sinovial.
En la práctica, esto se traduce en que los tendones que tienen vaina se mostrarán como estructuras hiperecogénicas delgadas y mejor definidas en su contorno. En caso de inflamación (tenosinovitis), la imagen se volverá hipoecoica, ya que el líquido acumulado disminuirá la ecogenicidad.
A la hora de explorar la región, realizaremos un corte transversal buscando el hueso pisiforme como nuestra referencia anatómica.

El nervio mediano discurre superficialmente a los tendones flexores superficial y profundo de los dedos. Tendrá una forma ovalada y en una interfase superior, veremos una película hiperecogénica que corresponde al ligamento transverso del carpo.


Una exploración dinámica, que consiste en pedir al paciente que mueva los dedos, será interesante para comprobar cómo se comporta el nervio mediano con respecto a la interfase tendinosa.
Así comprobamos si el nervio desliza correctamente y si existe alguna restricción.
Ecografía patológica del túnel del carpiano
En su revisión sistemática y metaanálisis de 97 estudios, Asghar et al. revelaron información muy útil sobre la ecografía de muñeca.
Concluyeron que un aumento del área de sección transversal del nervio mediano se correlaciona con el diagnóstico del síndrome del túnel carpiano. Concretamente, un área mayor a 10 mm² en cualquier parte del túnel carpiano podría indicar la presencia de un trastorno del nervio mediano.
De hecho, incluso hay evidencia que apunta a una correlación positiva entre la ecografía y los estudios electrodiagnósticos: Cuando la ecografía muestra un aumento del área de sección transversal, es más probable que los estudios electrodiagnósticos también confirmen una disfunción del nervio.
Además, algunos estudios, como el de Wessel et al., sugieren que a mayor área de sección transversal del nervio mediano, mayor es la severidad del síndrome del túnel carpiano, lo que podría tener implicaciones clínicas interesantes a la hora de hacer un seguimiento de la evolución del paciente.
Como mencionamos anteriormente, la ecografía también facilita el diagnóstico diferencial al evaluar otras estructuras que podrían ser fuente de dolor, ya sea porque comprimen al nervio mediano o porque constituyen la causa primaria del dolor.
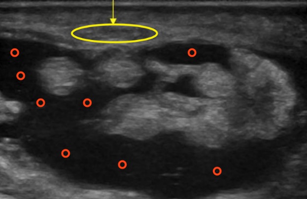
Por ejemplo, en la siguiente imagen, vemos un caso de tenosinovitis (el líquido anecoico lo hemos señalado con círculos rojos). Además se puede ver una compresión del nervio mediano (señalado en amarillo) debido a la ocupación del espacio.

En la siguiente imagen, vemos el caso de una bandera roja. En este corte longitudinal, el nervio mediano aparece comprimido por una masa tumoral en la interfase superficial.
La flecha amarilla indica el punto donde la compresión es más evidente. Al comparar esta zona con la sección a la derecha de la imagen, se aprecia una reducción drástica en el calibre normal del nervio.

¿Te está siendo útil? esto es un 0,1% de lo que puedes aprender con nuestro máster
✅ Dominarás la ecografía en tan solo 6 meses, con clases ya grabadas para que aprendas a tu ritmo.
✅ Actualizado en 2026, con un extra en anatomía para que sepas exactamente qué estructuras hay bajo la sonda y te orientes fácilmente en la exploración.
✅ Único máster con acceso ilimitado y soporte de dudas y casos clínicos permanente.
Solicita información a través de este formulario
Conclusiones
La ecografía se ha consolidado como una herramienta de gran utilidad en el diagnóstico del síndrome del túnel carpiano, permitiendo no solo la visualización del nervio mediano y sus estructuras adyacentes, sino también la diferenciación de otras patologías que pueden simular su sintomatología.
La evidencia actual respalda el uso del ecógrafo para evaluar el área de sección transversal del nervio, con un valor de corte de 10 mm² como criterio diagnóstico. Además, el tamaño del nervio podría ser un parámetro útil para evaluar la severidad del síndrome y su evolución tras el tratamiento.
Acabamos de actualizar un artículo sobre fisiopatología y tratamiento del síndrome del túnel carpiano, si te apetece seguir formándote puedes leerlo para aprender la última información científica sobre el manejo de este síndrome.
Bibliografía
- Asghar, A., Naaz, S., Ansari, S., Kumar, A., & Singh, V. (2023). The cross-sectional morphology of median nerve in carpal tunnel of healthy, adult population: A systematic review and meta-analysis. Morphologie, 107, 99–115.
- Wessel, L. E., Marshall, D. C., Stepan, J. G., Sacks, H. A., Nwawka, O. K., Miller, T. T., & Fufa, D. T. (2019). Sonographic findings associated with carpal tunnel syndrome. Journal of Hand Surgery (American Volume), 44(4), 374–381.
- Aboonq, M. S. (2015). Pathophysiology of carpal tunnel syndrome. Neurosciences (Riyadh), 20(1), 4–9.
- Omole, A. E., Awosika, A., Khan, A., Adabanya, U., Anand, N., Patel, T., Edmondson, C. K., Fakoya, A. O., & Millis, R. M. (2023). An integrated review of carpal tunnel syndrome: New insights to an old problem. Cureus, 15(6), e40145.
Comentarios recientes