La idea de este artículo es simple: que puedas mirar una eco sabiendo si, lo que ves en tu ecógrafo, encaja más con un patrón degenerativo (tendinopatía) o con un defecto estructural focal (rotura).
Como siempre defendemos en Easy, empezaremos por una imagen ecográfica normal para luego ver las diferencias con la tendinopatía y la rotura.
Definiendo qué es una tendinopatía y una rotura en ecografía
Para entender las diferencias entre rotura y tendinopatía en ecografía, antes habrá que definir cómo se ve cada una en un corte ecográfico.
¿Qué entendemos por tendinopatía en ecografía?
En una exploración ecográfica, la tendinopatía sigue un patrón característico:
- Habrá un engrosamiento.
- Áreas hipoecoicas.
- Pérdida del patrón fibrilar homogéneo.
- Hiperemia asociada a neovascularización cuando activamos el Doppler (sobre todo en cuadros crónicos)
¿Qué entendemos por rotura en ecografía?
En una ecografía, la presencia de una rotura se reflejará en un defecto focal de continuidad. Puede ser parcial (afecta a un porcentaje de fibras) o completa (no hay continuidad funcional).
La clave será detectar si hay una disrupción focal de la arquitectura (rotura parcial) o una discontinuidad clara (rotura completa).
En la rotura completa, a menudo el espacio se rellena con líquido que antes ocupaba el tejido tendinoso.
Ejemplo práctico: ecografía del tendón del tibial posterior
Ahora que hemos descrito cómo debería verse, pasemos a la parte práctica mostrando diferentes cortes para un mismo tendón.
Para diseccionar las diferencias entre rotura y tendinopatía en ecografía, iremos desde la normalidad a una tendinopatía, una rotura parcial y una rotura completa.
Imagen ecográfica de un tendón tibial posterior sano
Para entender la patología, primero hay que tener muy claro cómo es la imagen de la normalidad.
El tipo de corte que estudiaremos es el siguiente:

Para hacer correctamente una ecografía del tendón del tibial posterior necesitas tener al paciente en decúbito supino con ligera rotación externa de cadera. El tendón del tibial posterior está señalado en rojo en la imagen de arriba.
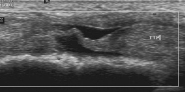
En este otro corte ecográfico de un varón de 39 años, puedes observar otro tendón tibial posterior (TTP) sano:

En el eje corto (imagen A), a nivel del maléolo medial, el tendón (flecha) aparece como un bloque sólido y bien definido sobre el surco óseo (punta de flecha).
Presenta una ecogenicidad uniforme, sin zonas oscuras sospechosas, y está abrazado por un retináculo flexor (estrellas) que se ve como una banda fina y sana.
En el eje largo (imagen B), el tendón (flecha) muestra una estructura fibrillar homogénea y brillante (hiperecoica). Las fibras están perfectamente alineadas. Esa continuidad y brillo son el indicativo de que el tendón está sano.
A partir de aquí, te aconsejo que vayas subiendo y bajando de las imágenes patológicas a las imágenes con el tendón sano para apreciar las diferencias.
Imagen ecográfica de una tendinopatía del tendón tibial posterior

En el eje largo (Imagen A), el cambio es evidente: el tendón presenta un engrosamiento fusiforme marcado (PTT thickened). Se ha perdido el patrón fibrilar brillante; ahora el tejido es más oscuro (hipoecoico) debido a la degeneración del colágeno, mostrando una estructura desorganizada que confirma una tendinopatía crónica sin signos de rotura.
En el eje corto (Imagen B), la clave es el aumento de volumen. El tendón tibial posterior (PTT) se ve desproporcionadamente grande y redondeado en comparación con el tendón flexor largo de los dedos (FDL). Esta pérdida de la forma compacta y su tono oscuro son los hallazgos clásicos de un proceso degenerativo.
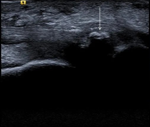
Imagen ecográfica de una calcificación en el tendón tibial posterior
En este eje largo, la calcificación se presenta como un hallazgo focal muy llamativo. Se observa una mancha intensamente blanca (hiperecoica) señalada por la flecha, que rompe la arquitectura habitual del tendón.

El signo diagnóstico definitivo es la sombra acústica posterior: esa zona negra que se proyecta justo debajo del depósito de calcio.
Esto ocurre porque el mineral es tan denso que impide el paso de los ultrasonidos, creando ese «vacío» de imagen característico que permite diferenciar una calcificación de cualquier otra lesión del tejido.
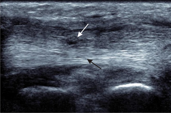
Imagen ecográfica de una rotura parcial del tendón tibial posterior
A continuación, te presento un corte ecográfico longitudinal en el que se ve una rotura parcial del tendón.

La parte profunda del tendón (flecha negra) conserva el patrón fibrilar normal y brillante propias de un tendón sano. Son las fibras que aún resisten y mantienen la integridad estructural.
Sin embargo, en la zona superficial (flecha blanca) vemos una imagen completamente diferente. Se observa un adelgazamiento localizado y una pérdida total del patrón ecogénico habitual. Esa área oscura y desorganizada representa el defecto focal donde las fibras se han seccionado. El patrón fibrilar no es continuo.
Imagen ecográfica de una rotura total del tendón tibial posterior
Y ahora, pasemos a cómo se ve una rotura total tendinosa en ecografía.

En este corte en eje largo, nos encontramos con una imagen muy visual de la rotura completa: la conocida como rotura en «chicle» (chewing gum).
Como puedes ver, el tendón tibial posterior (TTP) pierde por completo su linealidad y aparece con una forma tortuosa y ondulada, síntoma de que ha perdido toda su tensión mecánica y funcionalidad.
Ya no hay rastro de las fibras paralelas y brillantes. Lo que observamos es una estructura con irregularidades de calibre muy marcadas y una pérdida total de su organización fibrilar interna.

Esta otra imagen en eje corto permite contrastar la salud frente a la rotura total en un mismo paciente:
En la imagen (a), vemos el tobillo sano como referencia. El tendón (flecha) muestra su apariencia normal: un bloque ecogénico, brillante y con su estructura fibrilar intacta. Es el patrón de «normalidad» que hemos descrito al principio del artículo.
En la imagen (b), tomada al mismo nivel en el tobillo afecto, se aprecia la rotura completa. El tendón (delimitado entre los calibradores) aparece notablemente engrosado y muy oscuro (hipoecoico).
Esta pérdida absoluta de la arquitectura fibrilar y el cambio de tono indican una desorganización total del tejido tras la rotura espontánea, marcando una diferencia visual clara con el lado sano.
¿Te está siendo útil? aprendre todavía más con nuestra Guía gratuita de Ecografía

Conclusiones
Diferenciar una tendinopatía de una rotura en ecografía no consiste solo en ver una zona hipoecoica. La clave está en valorar si existe una verdadera discontinuidad de las fibras o solo una alteración de su estructura.
Por eso, antes de interpretar una imagen como rotura, es fundamental conocer bien el aspecto normal del tendón. Una buena lectura ecográfica permite distinguir mejor entre cambios degenerativos y una lesión estructural real, algo que puede cambiar por completo la interpretación clínica.
Bibliografía
Soliman, S. B., Spicer, P. J., & van Holsbeeck, M. T. (2019). Sonographic and radiographic findings of posterior tibial tendon dysfunction: A practical step forward. Skeletal Radiology, 48(1), 11–27. https://doi.org/10.1007/s00256-018-2986-8
Harries, L., Kempson, S., & Watura, R. (2011). Calcific tendonitis of the tibialis posterior tendon at the navicular attachment. Journal of Radiology Case Reports, 5(6), 25–30. https://doi.org/10.3941/jrcr.v5i6.764
Hodgson, R. J., O’Connor, P. J., & Grainger, A. J. (2012). Tendon and ligament imaging. British Journal of Radiology, 85(1016), 1157–1172. https://doi.org/10.1259/bjr/34786470
Lhoste-Trouilloud, A. (2012). The tibialis posterior tendon. Journal of Ultrasound, 15(1), 2–6. https://doi.org/10.1016/j.jus.2012.02.001
Sudoł-Szopińska, I., Żelnio, E., Olesińska, M., Gietka, P., Ornowska, S., Power, D., & Taljanovic, M. (2022). Update on current imaging of systemic lupus erythematosus in adults and juveniles. Journal of Clinical Medicine, 11(17), 5212. https://doi.org/10.3390/jcm11175212
Comentarios recientes