Muchos profesionales sienten una gran dificultad a la hora de obtener una imagen de buena calidad en su ecógrafo.
Ya hemos comentado en otros posts qué parámetros son los más importantes para obtener una imagen de buena calidad en ecografía. En el blog de esta semana, nos centraremos en los artefactos ecográficos.
Saber interpretarlos evitará que veas patología donde no la hay.
¿Qué es un artefacto ecográfico?
Un artefacto ecográfico es una imagen que aparece en la pantalla del ecógrafo pero que no corresponde con el estado real del tejido.
En la práctica, un artefacto aparece porque el ecógrafo construye la imagen a partir de varias suposiciones: que el sonido viaja y vuelve en línea recta, que atraviesa los tejidos a una velocidad bastante constante y que se va atenuando de una forma predecible.
Cuando alguna de esas suposiciones falla, el sistema interpreta mal los ecos y reconstruye una imagen que parece real, pero que no corresponde exactamente con el tejido.
En resumen: un artefacto aparece cuando el ecógrafo interpreta mal los ecos porque alguna de sus “reglas de cálculo” no se cumple.
¿Cuáles son los artefactos más comunes en ecografía?
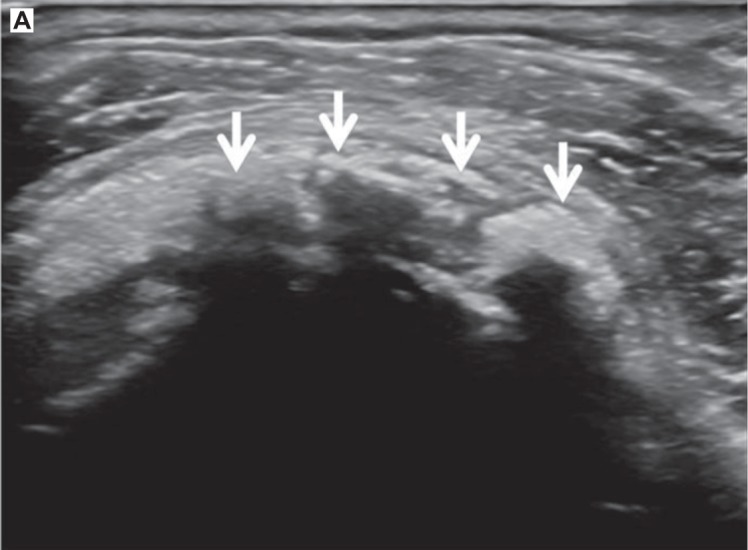
Sombra acústica
La sombra acústica es ese “vacío” oscuro que aparece por debajo de una estructura que bloquea el haz. Se ve como una zona hipoecoica o negra porque el sonido no llega con suficiente energía a lo que hay detrás.
Suele aparecer cuando el tejido atenúa mucho el ultrasonido o cuando actúa como un reflector muy potente. Por eso es típica bajo la cortical ósea y también bajo calcificaciones.
A continuación, te ponemos 2 ejemplos prácticos extraídos del artículo de Chingkoe et al (referencia 1 de la bibliografía de este artículo):


A nivel clínico tiene una doble cara. Cuando ves un foco hiperecogénico con una sombra por debajo, suele indicar una estructura dura (hueso o calcificación) y eso orienta. El problema es que esa misma sombra puede ocultar el tejido que hay debajo. Por ejemplo, una calcificación puede dificultar la visualización del tendón profundo y hacer que una rotura parcial pase desapercibida.
La forma práctica de reducir errores, a menudo consiste en inclinar ligeramente la sonda y buscar otra trayectoria del haz que “bordee” el obstáculo. Si además ajustas el foco a la profundidad real del objetivo y confirmas la imagen en dos planos, minimizas muchísimo el riesgo de confundir una sombra con un defecto real del tejido.
Cola de cometa
La cola de cometa es un artefacto de reverberación: aparece como una estela de ecos brillantes que se repite hacia la profundidad a partir de un punto muy reflectante.
La imagen se vería así:

Este artefacto está asociado a pequeñas calcificaciones, interfaces muy reflectantes o material extraño como una aguja, por ejemplo, al realizar una técnica invasiva.
Para no confundirte, fíjate en su comportamiento: suele mantenerse anclada al reflector que la genera y cambia bastante si modificas el ángulo o el apoyo de la sonda.
Ante la duda, haz siempre la exploración en dos planos y baja un poco la ganancia si la imagen se ve demasiado brillante. La reverberación se intensifica cuando la ganancia es alta.
Anisotropía
La anisotropía es probablemente el artefacto más típico en tendones. Se manifiesta como zonas hipoecoicas dentro de una estructura fibrilar que, de repente, parece “degenerada” o incluso rota. El problema es que no es una lesión: ocurre porque el haz no está entrando perpendicular a las fibras, y entonces el eco de retorno cae en picado.
En la siguiente imagen puedes ver una comparativa de un tendón cuyo patrón fibrilar se ve correctamente (izquierda) y el mismo tendón que parece patológico por la anisotropía (derecha).

Refuerzo posterior
El refuerzo posterior es lo contrario de la sombra: en lugar de oscurecer lo que hay por debajo, lo hace más brillante. Suele aparecer cuando el haz atraviesa una estructura con baja atenuación, típicamente líquido, y llega con más energía a los tejidos profundos.

Debes tenerlo en cuenta porque te puede ayudar a identificar contenido líquido en una bursa, un derrame o un quiste. El matiz en este artefacto es que ese brillo extra puede alterar tu percepción: el tejido profundo puede parecer demasiado ecogénico y confundirte.
Una buena estrategia para confirmar que estás ante un refuerzo posterior, es hacer una compresión suave con la sonda para ver si la región se comprime (el líquido tiende a deformarse).
¿Te está siendo útil? aprendre todavía más con nuestra Guía gratuita de Ecografía

Conclusiones
Los artefactos ecográficos son el resultado de cómo el ecógrafo construye una imagen a partir de supuestos físicos. Por eso, si no los reconoces, es fácil que interpretes como patología algo que solo es una distorsión de la señal.
En la práctica, la clave está en comprobar el comportamiento del hallazgo. Si aparece una sombra, piensa en qué estructura está bloqueando el haz y busca otro corte, si todo brilla demasiado y ves estelas, revisa ganancia o si un tendón parece roto, corrige el ángulo antes de etiquetar.
En general, la clave será evaluar en dos planos y ajustar correctamente los parámetros de tu ecógrafo.
Bibliografía
Chingkoe, C. M., White, J. H., Louis, L. J., Andrews, G., & Forster, B. B. (2009). Rotator cuff troublemakers: Pitfalls of MRI and ultrasound. Open Access Journal of Sports Medicine, 1, 1–9. https://doi.org/10.2147/OAJSM.S5528
Song, H. S., Kim, D.-Y., & Yoon, K.-S. (2013). Intervention using ultrasonography. The Journal of the Korean Orthopaedic Association, 48(5), 342. https://doi.org/10.4055/jkoa.2013.48.5.342
Wu, W.-T., Chang, K.-V., Hsu, Y.-C., Hsu, P.-C., Ricci, V., & Özçakar, L. (2020). Artifacts in musculoskeletal ultrasonography: From physics to clinics. Diagnostics, 10(9), 645. https://doi.org/10.3390/diagnostics10090645
Comentarios recientes